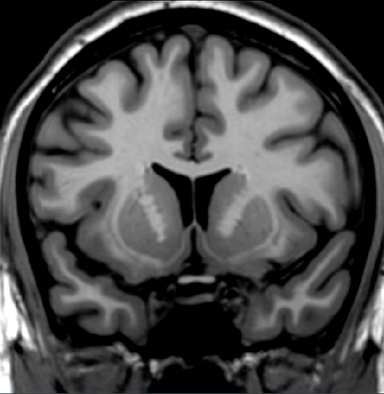
Question 2.

Quiz Index

Question 1

Question 2

Question 3

Question 4

Question 5

Question 6

Question 7

Question 8

Question 9

Question 10

Question 11

Question 12


[CD-Rom index]
[Supplements Index]



Identify one brain region where pressure from a pituitary tumor could produce a visual field defect.