Question 12.

Quiz Index

Question 1

Question 2

Question 3

Question 4

Question 5

Question 6

Question 7

Question 8

Question 9

Question 10

Question 11

Question 12


[CD-Rom index]
[Supplements Index]



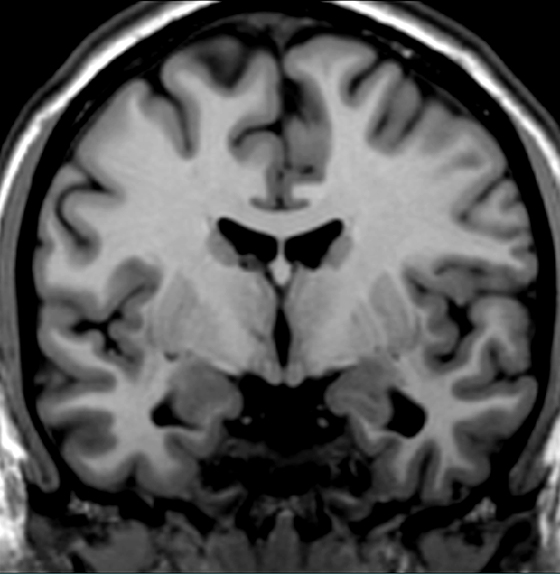
It is proposed that excessive activity of this structure contributes to the bradykinesia, rigidity and tremor seen in patients with Parkinson's disease. Locate the structure in this scan.