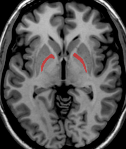
Question 11.

Quiz Index

Question 1

Question 2

Question 3

Question 4

Question 5

Question 6

Question 7

Question 8

Question 9

Question 10

Question 11

Question 12


[CD-Rom index]
[Supplements Index]



The neurons of the GP external segment predominately utilize the neurotransmitter:

A. GABA
B. Glutamate