Question 1.

Quiz Index

Question 1

Question 2

Question 3

Question 4

Question 5

Question 6

Question 7

Question 8

Question 9

Question 10

Question 11

Question 12


[CD-Rom index]
[Supplements Index]



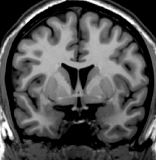
Identify one of the two regions that receive projections from the substantia nigra (pars compacta).