Question 5.

Quiz Index

Question 1

Question 2

Question 3

Question 4

Question 5


[CD-Rom index]
[Supplements Index]

 

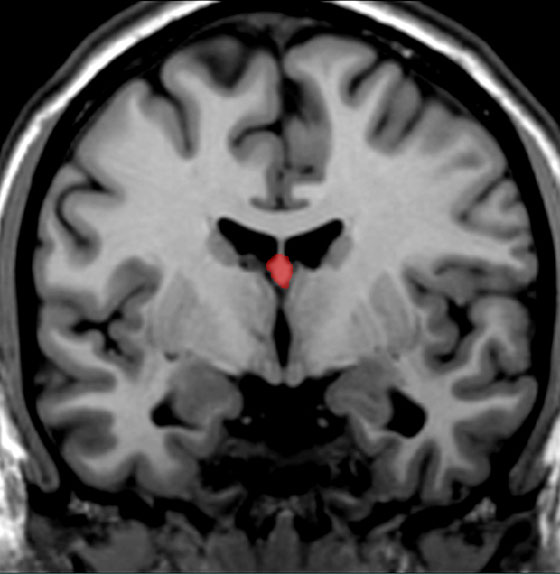
Locate one structure clearly visible in this scan in which the fornix terminates.