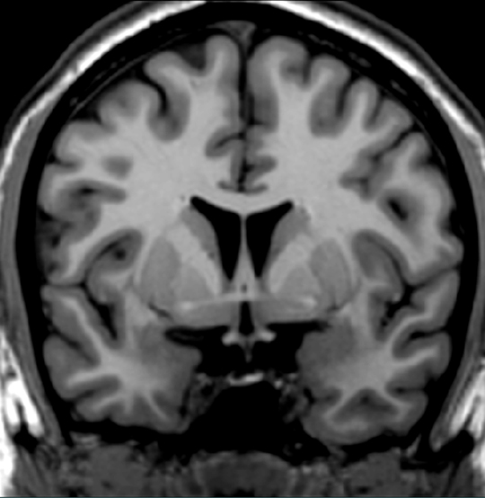
Question 1.

Quiz Index

Question 1

Question 2

Question 3

Question 4

Question 5


[CD-Rom index]
[Supplements Index]



Bilateral destruction of this structure (and adjacent cortex) in primates results in dramatic changes in emotional behavior, ie. affective blunting-docile, no expression of anger or fear etc., referred as Kluver-Bucy syndrome. Locate this nuclear group.