Question 2.

Quiz Index

Question 1

Question 2

Question 3

Question 4

Question 5


[CD-Rom index]
[Supplements Index]

 

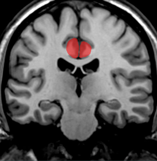
Locate a cortical region that receives input from the cingulate cortex.