Question 3.

Quiz Index

Question 1

Question 2

Question 3

Question 4

Question 5


[CD-Rom index]
[Supplements Index]

 

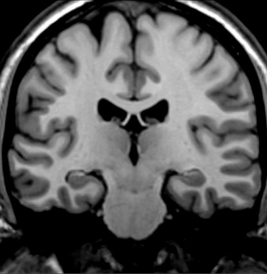
Identify the structure which shows a depletion of neurons and shrinkage of tissue (sclerosis) in patients with complex partial seizures.