Question 7.

Quiz Index

Question 1

Question 2

Question 3

Question 4

Question 5

Question 6

Question 7

Question 8

Question 9

Question 10


[CD-Rom index]
[Supplements Index]

 

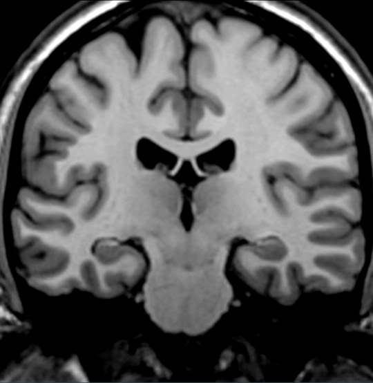
Locate the cingulate gyrus.