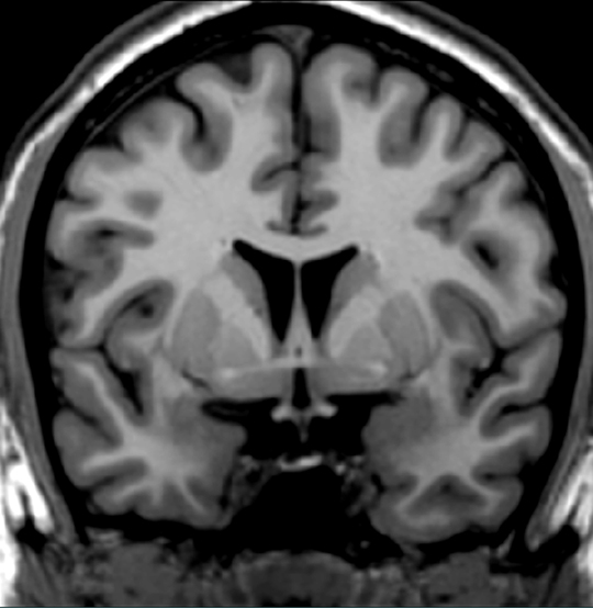
Question 7

Locate a bundle of fibers that interconnects the temporal lobes.