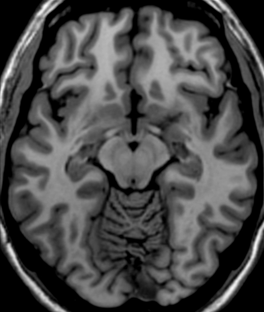
Question 1B

Name and point at the specific location of the cells bodies that are involved in the pathology of Parkinson's Disease